

A Healthy Smile Is Always In Style
Advanced & Compassionate Care For Patients Of All Ages.
Our Services
Welcome to Dr. Jen's Gentle Dentistry
Featuring Over 25 Years of Experience & Serving the Community For 22 Years
Finding a dentist in Harrisonburg may not be a difficult task, but locating a dentist who cares about your wellbeing and comfort can be slightly more challenging. At Dr. Jen's Gentle Dentistry, our professional team of oral care experts have the experience and understanding necessary to provide you with top-tier treatment options. Dedicated to dental excellence, our practice provides state-of-the-art care and upholds the strictest standards of sterilization & safety.
Since 1996, Dr. Jennifer Huffman has made it her mission to treat each and every patient with compassion and professionalism. Dr. Jen's practice located just East of Harrisonburg Virginia in Rockingham County is convenient to Harrisonburg, James Madison University, and Rockingham County. We take a unique approach to dentistry, read about our practice's philosophy here. To schedule an appointment, please contact our office at (540) 432-1600 today!
Most Insurances Accepted
Contact for more information.
We are in network with Aetna PPO, United Concordia PPO, Delta Dental PPO & Medicare, Metlife PPO, GEHA PPO, Sunlife PPO, Principal PPO, Reliance PPO, Ameritas PPO, and Dental Health Alliance
Read moreFinancing Options Available
Need help with payments?
We accept financing options such as CareCredit and Sunbit.
Apply NowSame Day Appointments
Need immediate Care?
Schedule an appointment today and be seen as soon as possible.
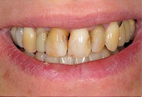
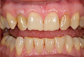
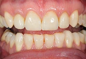
Request AppointmentSmile Gallery
Our results speak for themselves!
As skilled and experienced providers of care, we combine the art and science of dentistry to transform less-than-perfect smiles into ones that are vibrant and beautiful! We offer personalized solutions to help every patient enjoy the benefits of an attractive and healthy smile.






Lumineers & Veneers
Our dental veneers are designed to cover dental blemishes.
Lumineers and veneers are designed to rid your teeth of any and all abnormalities and blemishes. Lumineers is a safe, painless porcelain veneer to cover chips, gaps, stains and misalignments.
Learn More →

Invisalign®
The clear solution to a straighter smile.
Straighten your teeth discreetly with clear aligner technology. Invisalign® offers a comfortable, removable alternative to traditional braces.
Learn More →Visit Our Family-Friendly Practice
We are delighted that you have chosen Dr. Jen to care for your dental needs.
Our mission is to provide you and your family with the highest quality of dental care by means of education, motivation, and technical excellence. You will be made to feel comfortable in the atmosphere of enthusiasm, compassion, gentleness, respect, and trust we strive to provide.
We are always accepting new patients and enjoy working with patients of all ages. From young children to elderly patients, Dr. Jen and our team are eager to provide personalized treatment plans for all patients.









